This site is supported by our readers. We may earn a commission, at no cost to you, if you purchase through links.

Since birds need vitamin D for strong bones and a sturdy immune system, more isn’t always better; in fact, too much can act like a wolf in sheep’s clothing, quietly causing harm before the signs appear.
Watch for small shifts in your bird’s appetite or energy—these clues could be the tip of the iceberg. Get ready to uncover what causes this and how to shield your feathered friend.
Table Of Contents
- Key Takeaways
- What is Vitamin D Toxicity in Birds?
- Causes and Risk Factors of Vitamin D Toxicity
- Signs and Effects of Vitamin D Toxicity
- Diagnosing and Managing Vitamin D Toxicity
- Preventing Vitamin D Toxicity in Birds
- Frequently Asked Questions (FAQs)
- What are the symptoms of Vit D toxicity?
- What are the symptoms of Vitamin D3 deficiency in birds?
- What are the symptoms of vitamin D toxicity in animals?
- Can birds overdose on vitamins?
- Can vitamin D toxicity cause kidney damage in birds?
- How does UVB lighting impact vitamin D levels in birds?
- Are certain bird species more prone to vitamin D toxicity?
- What is the role of calcium in vitamin D toxicity cases?
- Can vitamin D toxicity harm bird reproduction?
- Are wild birds affected by vitamin D toxicity?
- Conclusion
Key Takeaways
- Too much vitamin D in birds leads to dangerous calcium buildup, damaging kidneys, bones, and soft tissues.
- Different bird species have varied risk levels, with parrots and macaws especially sensitive to vitamin D toxicity.
- Early signs can be subtle, like changes in appetite or behavior, so regular monitoring and quick action matter.
- Prevention relies on balanced diets, precise supplementation, proper UVB exposure, and routine vet checkups.
What is Vitamin D Toxicity in Birds?
Understanding vitamin D toxicity in birds starts with knowing how this nutrient affects their bodies.
Before we dive into those factors, here’s the essential background you’ll want to understand.
Role of Vitamin D in Avian Health
Like the sun rising each morning, vitamin D quietly aids your bird’s health from the inside out. It’s vital for:
- Calcium regulation—keeps calcium and phosphorus in harmony for strong bones.
- Immune function—aids your bird’s natural defenses.
- Bone health—maintains proper calcium homeostasis, preventing vitamin D deficiency.
Balanced avian nutrition is the foundation for lifelong wellness.
Difference Between Vitamin D2 and D3
You’ve already seen how essential vitamin D is, but not all forms are created equal. Vitamin D2, common in plants, falls short for birds due to poor D2 absorption and metabolic instability. Instead, your bird relies on vitamin D3—or cholecalciferol—for true potency, dependable supplementation efficacy, and enhanced clinical relevance, especially when preventing issues like hypervitaminosis D3.
Birds are also susceptible to poisoning, requiring awareness of avian toxic agents.
How Vitamin D Becomes Toxic
Even though vitamin D3 packs the benefits your bird needs, giving too much can tip the scales and turn a healthy nutrient into a silent threat. Here’s what happens:
- D3 Conversion spikes, causing Calcium Overload
- Phosphorus Imbalance disturbs Calcium homeostasis
- Kidneys face dangerous Accumulation
- Gout Development creeps in
- Vitamin D toxicosis—Hypervitaminosis D3—unfolds when dietary imbalances or improper Vitamin D sources persist
Causes and Risk Factors of Vitamin D Toxicity
A few key factors can make birds more vulnerable to vitamin D toxicity. Let’s explore the main causes you should watch out for.
Dietary Imbalances and Over-Supplementation
It’s easy to think a little extra vitamin D couldn’t hurt, but in birds, even minor dietary imbalances or a splash too much supplement can quickly tip the scales from healthy to harmful.
Feed formulation errors, incorrect supplement dosage, or unbalanced mineral ratios in commercial diets may cause vitamin D toxicosis, hypercalcemia, and lasting nutritional imbalance—making owner education essential for avian health.
Species Susceptibility (Parrots, Macaws, Broilers)
Every bird species has its quirks—especially regarding vitamin D. Parrot Sensitivity and Macaw Vulnerability mean these birds develop vitamin D toxicosis and hypercalcemia at much lower dietary thresholds. Like humans, birds can suffer from a variety of nutritional disorders if their diets aren’t properly balanced. Broiler Tolerance is higher, yet even broiler chicks face risks at extreme doses.
Consider these key differences:
- Macaws: extremely vulnerable
- Parrot families: heightened risk
- Broiler chicks: higher thresholds
- Genetic factors: influence sensitivity
- Dietary thresholds: vary widely
Genetic Predisposition and Environmental Factors
While some birds are simply born more vulnerable to vitamin D toxicity, your environment and daily routines can tip the scales even further.
Gene-environment interaction shapes each bird’s risk—some breeds face hypervitaminosis D after minimal sunlight exposure or when environmental toxins combine with dietary excess.
For many birds, it’s this mix of genetic and environmental triggers that sparks a toxic event.
Signs and Effects of Vitamin D Toxicity
Vitamin D toxicity affects birds in many ways, often showing up in subtle or not-so-subtle changes.
Keep an eye out for these signs and symptoms in your birds—they can reveal a lot about how vitamin D toxicity may be affecting them.
Clinical Symptoms in Birds
Have you ever wondered what your bird might be trying to tell you with subtle changes in how it eats, moves, or acts each day?
Clinical signs and symptoms of vitamin D toxicosis include anorexia signs, dehydration effects, and movement difficulty. Birds may show bone weakness or dullness.
Watch closely for these red flags—hypercalcemia and kidney damage often sneak in silently.
Organ Damage (Kidneys, Bones, Soft Tissues)
Too much vitamin D can quietly turn into a wrecking ball, damaging your bird’s kidneys, bones, and soft tissues before you even realize there’s a problem. You mightn’t see the kidney calcification or soft tissue mineralization at first, but inside, bone weakening, gout development, and even renal failure are brewing—classic signs of vitamin D toxicosis and metastatic calcification.
Behavioral and Physiological Changes
It’s surprising how subtle shifts in energy, thirst, or even how your bird stands can be the earliest hints that something serious is stirring beneath the surface. Watch for changes in activity levels, sleep patterns, appetite shifts, or altered vocalizations—these can signal vitamin D toxicosis.
Feather changes, unexpected weakness, and soft tissue mineralization from hypercalcemia are clinical signs you shouldn’t overlook.
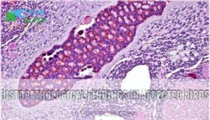
Histopathological Findings in Affected Birds
Like detective work under a microscope, histopathology reveals the hidden fallout of vitamin D toxicity. Renal necrosis and tubular epithelium degeneration, pulmonary lesions with congested airways, and soft calcification in vessels and tissues are key findings.
You’ll often see bone changes—friable or oddly formed—and pale urate deposits, with renal calcification and soft tissue mineralization marking the silent damage within.
Diagnosing and Managing Vitamin D Toxicity
Dealing with vitamin D toxicity in birds requires a thoughtful, step-by-step plan. Here’s how you and your veterinarian can work through it together.
Laboratory and Imaging Tests
A solid diagnosis often starts at the lab bench. Hypercalcemia is evident on serum calcium levels, while Renal Function Tests reveal kidney stress. Radiographic Mineralization highlights soft-tissue calcium, particularly in the kidneys.
Urinalysis Findings show dilute urine and mineral casts, and assessing Vitamin D Metabolites offers additional insights. Clinical signs, combined with these findings, strongly suggest vitamin D toxicity before considering histopathology.
Pathological and Immunohistochemical Analysis
Once lab work and imaging hint at vitamin D toxicity, looking at the affected tissues up close can really help connect the dots. Here’s what pathologists focus on:
- Renal histopathology reveals calcium deposits and necrosis type.
- Lung damage appears as congestion and cell infiltration.
- Calbindin expression changes.
- Histopathological findings in broiler chicks.
- Immunohistochemical analysis confirms pathologic lesions.
Immediate and Long-Term Treatment Strategies
After the lab’s close look confirms vitamin D toxicity, the next step is quick action to help your bird recover—both now and for the long haul.
Helpful care, chelation therapy, and dietary adjustments are key. Protecting kidneys is paramount to prevent renal failure.
Ongoing dietary management and careful prognosis monitoring, especially for calcium imbalance, lessen further kidney damage and aid long-term recovery.
Monitoring and Follow-Up Care
Keeping a close eye on your bird after treatment isn’t just about peace of mind—it’s how you catch small changes before they turn into big problems. Watch for:
- Shifts in calcium levels or kidney function
- New or returning clinical signs or symptom recurrence
- Response to dietary adjustments, guided by your vet
Long-term prognosis depends on early action and consistent monitoring.
Preventing Vitamin D Toxicity in Birds
Your bird’s health depends a lot on how much vitamin D they get. Here’s what you need to know to stay ahead of any issues.
Balanced Nutrition and Feed Selection
Think of your bird’s diet as a delicate recipe—getting the balance right is the secret ingredient to their long-term health. Start by reading feed labels and analyzing commercial feed ingredients for Vitamin D, calcium, and phosphorus.
Lean on natural food sources and manage feed additives carefully. A healthy dietary calcium ratio and proper dietary management help safeguard against imbalances.
Safe Supplementation Practices
With Vitamin D, dosing accuracy is your bird’s safety net. Always tailor Vitamin D3 and calcium supplements to your species’ needs, using precise delivery methods—droppers or measured scoops for reliable results.
Regularly monitor levels, and don’t skip vet consultation. Smart dietary management helps prevent imbalances in Vitamin D, calcium, and phosphorus, protecting health over the long haul.
Role of UV Light and Natural Sources
Whether your bird is perched by a sunny window or basking outdoors, natural light is one of the simplest ways they can get the vitamin D their bodies need.
UVB exposure from sunlight sparks D3 synthesis in the skin, supporting calcium regulation and reducing the risk of toxicosis.
Seasonal variation, diet, and regular UV light exposure boost your bird’s overall health.
Regular Veterinary Health Checks
Ever wonder how your bird’s quiet changes can signal something big beneath the feathers? Regular veterinary health checks pave the way for early detection and prevention of the toxic effects of vitamin D3. By weaving in comprehensive assessment and communication with your vet, you make certain:
- Consistent checkup frequency
- Thorough assessments
- Review of clinical signs
- Proactive preventative care
- Stronger poultry health overall
Frequently Asked Questions (FAQs)
What are the symptoms of Vit D toxicity?
Have you ever wondered why a bird suddenly drinks more or moves less? Early Symptoms include subtle behavioral changes.
As Severity Levels rise, clinical signs progress—think Hypercalcemia, Renal failure, late stages with Metastatic calcification, and dramatic histopathological alterations in Specific Organs.
What are the symptoms of Vitamin D3 deficiency in birds?
A bird’s health can unravel quickly without enough Vitamin D3. Early deficiency signs include feather abnormalities, bone development problems, behavioral changes, and poor egg production—clinical signs you can spot before severe vitamin deficiency harms your bird.
What are the symptoms of vitamin D toxicity in animals?
How do you spot vitamin D toxicity in animals? Early symptoms often show as behavior changes and weakness.
Kidney damage, hypercalcemia, and bone issues follow. Clinical signs may escalate, including dehydration, increased mortality rates, and notable histopathological alterations.
Can birds overdose on vitamins?
How much is too much? Birds can overdose on vitamins. Even essential nutrients cross toxicity thresholds when given without careful supplementation guidelines.
Vitamin Overdose Risks—especially with Vitamin D and D3—make understanding safe vitamin levels and breed sensitivities paramount.
Can vitamin D toxicity cause kidney damage in birds?
Why worry about vitamin D3 excess? It can trigger hypercalcemia, leading to Renal Calcium Deposits and Metastatic Calcification.
This damages kidney function, invites Renal failure, worsens Gout Development, and disrupts Calcium-Phosphorus balance—early detection is key.
How does UVB lighting impact vitamin D levels in birds?
Imagine nature’s lamp, UVB exposure triggers Vitamin D3 synthesis in birds, but it all comes down to lighting duration, spectral output, and feather penetration.
Artificial UV light mimics sunlight—get it right, you avoid deficiency or toxicosis.
Are certain bird species more prone to vitamin D toxicity?
Did you know that some species feel the brunt of vitamin D’s toxic effects more than others?
Species predisposition, genetic factors, and dietary influence all interact, so birds like macaws show heightened risk for hypercalcemia from Vitamin D
What is the role of calcium in vitamin D toxicity cases?
Too much vitamin D tips the balance, causing calcium overload. This sparks kidney calcification, bone resorption, and disrupts calcium homeostasis, fueling hypercalcemia and gout development as your bird’s body struggles with calcium absorption and waste removal.
Can vitamin D toxicity harm bird reproduction?
Consider this: an imbalance in vitamin D disrupts calcium, leading to poor eggshell quality, reduced fertility, and lower hatching success.
Toxicosis in poultry throws off hormones and can decrease chick viability and egg production.
Are wild birds affected by vitamin D toxicity?
Sunlight and balanced wild bird diets usually protect against toxic effects of vitamin D3, but urban birds or those exposed to unnatural sources can be at risk.
True vitamin D toxicity remains rare in wild populations due to environmental factors.
Conclusion
Imagine if the simple act of adding a vitamin led your bird silently down a dangerous path. Vitamin D toxicity in birds can creep up without warning, turning benefits into harm before you even notice.
The right knowledge and vigilance are your best defenses—fostering balance, safe supplementation, and regular veterinary guidance.
Don’t let the invisible become irreversible; understanding vitamin D toxicity in birds helps you safeguard your feathered companion’s health for years to come.
- https://pubmed.ncbi.nlm.nih.gov/25831571/
- https://www.askjpc.org/vspo/show_page.php?id=YW1sZjdva3JwVjR5UlVTMUlLYit1Zz09
- https://pmc.ncbi.nlm.nih.gov/articles/PMC5674439/
- https://www.merckvetmanual.com/exotic-and-laboratory-animals/pet-birds/nutritional-diseases-of-pet-birds
- https://scholar.google.com/scholar_lookup?title=Cellular%20and%20molecular%20immunology&author=%20Abbas,%20AK&author=%20Lichtman,%20AH&author=%20Pober,%20JS&publication_year=1997&













